מחלות חניכיים הן בין הגורמים העיקריים לאובדן שיניים, הן בקרב מבוגרים והן בקרב צעירים, והן יכולות לתקוף ללא התראה מוקדמת וגם ללא כאבים. הן מתחילות בדרך כלל בהצטברות של רובד חיידקי, שאם לא יטופל בהקדם, יגרום לדלקות וזיהומים בחניכיים.
כדי למנוע, או לטפל במקרה שיש בעיה, יש לפנות לפריודונטיים, רופאי שיניים מומחים בטיפולי חניכיים, על מנת שיבצעו אבחון מקצועי ויחליטו על שיטת הטיפול המתאימה.
מה הגורמים של מחלות חניכיים?
אחד הגורמים העיקריים למחלות חניכיים הוא הרובד החיידקי, המוכר גם כפלאק. כאשר היגיינת הפה לקויה ולא מקפידים על טכניקת צחצוח ועל ניקוי שיניים עם חוט דנטלי, מאפשרים לשאריות מזון להצטבר בחלל הפה וכתוצאה מכך נוצרת שכבת הפלאק. כאשר הפלאק אינו מטופל הוא מסתייד והופך לאבנית.
בנוסף לרובד החיידקי, ישנם גורמי סיכון נוספים שיכולים להוביל למחלות חניכיים כמו למשל שינויים הורמונליים, מחלות שמשפיעות על מערכת החיסון, תרופות, עישון, תורשה וגנטיקה, תזונה לקויה המובילה למחסור ברכיבים תזונתיים, שיניים לא ישרות, עקומות או שיש בהן רווחים גדולים, מתח נפשי, כל אלו ועוד מגדילים את הסיכון לחלות במחלות חניכיים.

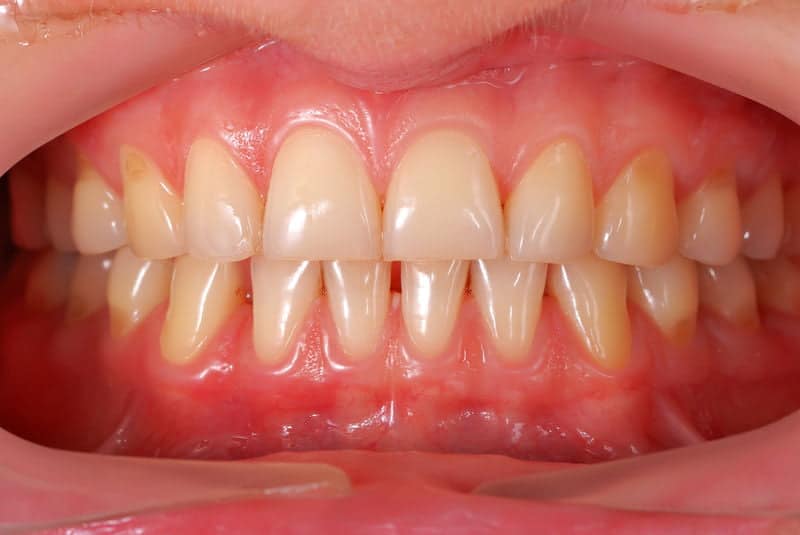
תסמינים של מחלות חניכיים
גילוי מוקדם של מחלות חניכיים הוא תנאי חשוב. ככל שהבעיה תתגלה מוקדם יותר, כך הטיפול יהיה יעיל ואפקטיבי יותר. לכן חשוב לשים לב לתסמינים הבאים:
- דימום מהחניכיים בזמן צחצוח שיניים
- נפיחות, רגישות או אדמומיות בחניכיים
- הפרשה מוגלתית משולי החניכיים
- ריח לא נעים מהפה
- נסיגת חניכיים
- תזוזה של השיניים
במידה ונתקלתם בכל אחד מהתסמינים הנ"ל, עליכם לתאם תור אצל פריודונט מומחה לטובת בדיקה מקיפה, אשר בכוחה למנוע את החמרת המחלה.

אילו טיפולי חניכיים קיימים?
הדרך היעילה ביותר למנוע מחלות חניכיים היא שמירה על היגיינת פה קפדנית החל בצחצוח ועד ניקוי הרווחים בין השיניים באמצעות חוט דנטלי. מעבר לכך, יש להקפיד לבצע טיפול תקופתי אצל שיננית, על מנת להסיר את האבנית והרובד החיידקי.
כאשר מדובר במחלת חניכיים מתקדמת לעיתים יעלה הצורך בהליך כירורגי כגון ניתוח חניכיים לטובת שיפור מצבם של החניכיים והעצם התומכת בהם, כאשר ישנם סוגים שונים של טיפולים החל בהשתלת חניכיים ועד ביטול כיסי החניכיים. אם אתם מזהים תסמינים לקיומה של מחלת חניכיים, אנו מזמינים אתכם לתאם ביקור לבדיקה ראשונית במרפאת המומחים שלנו. המומחים בפריודונטיה מספקים מעטפת שלמה של פתרונות אשר יעצרו את החמרת המחלה, ישפרו את בריאות החניכיים וישמרו על האסתטיקה של חלל הפה, החניכיים והלסת שלכם.
מדוע לבחור בנו?
המרפאה שלנו מרכזת תחת קורת גג אחת צוות של רופאי שיניים ומומחי חניכיים מובילים מהשורה הראשונה. אנו עובדים עם טכניקות מתקדמות וציוד חדיש לאבחונים מדויקים ותוצאות מוצלחות ומחויבים לספק לכם את טיפולי החניכיים היעילים והחדשניים ביותר שיש בתחום.
בריאות החניכיים שלכם היא מרכיב חיוני בבריאות הפה הכללית. המומחים שלנו בפריודונטיה, מציעים מגוון טיפולי חניכיים מתקדמים, מידע מקיף בתחום בריאות החניכיים, תכניות טיפול בהתאמה אישית ושלל שיטות שיעזרו לכם לעבור את הטיפולים השונים בדרך הכי נוחה ונכונה שיש. מאבחון לטיפול, הגישה הממוקדת במטופלים מבטיחה שתקבלו את הסטנדרט הגבוה ביותר.
אצלנו כל רופאי השיניים מכל התחומים עובדים יחד כדי לשמור על החניכיים שלכם בריאות ועל החיוך יפה וגדול. צרו קשר עוד היום לקביעת פגישת ייעוץ ותרגישו בהבדל בעצמכם!
